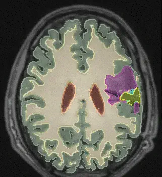
Learning joint Segmentation of Tissues And Brain Lesions (jSTABL) from task-specific hetero-modal domain-shifted datasets Dec 1, 2020 Go to Project Site jSTABL example Tom Vercauteren Professor of Interventional Image Computing Tom’s research interests include machine learning and computer assisted interventions